TAP top app download banner
theAsianparent
theAsianparent
EnglishFilipino
Product Guide
  • Money Tips
  • Building a BakuNation
  • Becoming a Parent
  • Ages & Stages
  • Parenting
  • Health & Wellness
  • Education
  • Lifestyle Section
  • Become a VIP
  • Press Room
  • TAP Recommends
  • Shopping
  • Community
Login
  • EnglishFilipino
    • Articles
  • Money TipsMoney Tips
  • Building a BakuNationBuilding a BakuNation
  • Becoming a ParentBecoming a Parent
  • Ages & StagesAges & Stages
  • ParentingParenting
  • Health & WellnessHealth & Wellness
  • EducationEducation
  • Lifestyle SectionLifestyle Section
  • Become a VIPBecome a VIP
  • Press RoomPress Room
  • TAP RecommendsTAP Recommends
  • ShoppingShopping
  • CommunityCommunity
    • Community
  • Poll
  • Photos
  • Food
  • Recipes
  • Topics
  • Read Articles
    • Tracker
  • Pregnancy Tracker
  • Baby Tracker
    • Rewards
  • RewardsRewards
  • Contests
  • VIP ParentsVIP Parents
    • More
  • Feedback

Privacy PolicyCommunity GuidelinesSitemap HTML

Download our free app

google play store
app store

Boy accidentally discovers sister’s cancerous tumor while tickling her

4 min read
Boy accidentally discovers sister’s cancerous tumor while tickling her

Specialists found that the tumor was malignant, brought on by a condition called Rhabdomyosarcoma, a rare cancer that mostly affects kids.

Siblings Aaron and Amy from Chelmsford, Essex were playing just like most children their age, goofing around and tickling each other—an otherwise unexceptional event.

However, it was during this time that Aaron discovered something terrifying, although he didn’t know it yet.

Tickling her sister Amy, the 11-year-old boy noticed a bizarre looking growth in her throat and immediately informed their mother, 31-year-old Carly.

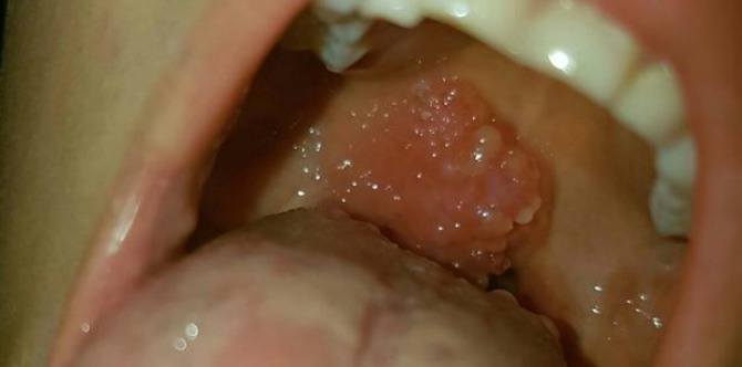
Boy Accidentally Discovers Sisters Cancerous Tumor While Tickling Her

Photo credit: Mercury Press / Mirror UK

“Amy and Aaron were just playing tickle monsters when he looked down her throat while she was laughing,” Carly told the Mirror.

Curiously enough, the first thought that entered her mind when Aaron showed her Amy’s throat was that it was a tumor. The horrified mother wasted no time: she immediately brought her daughter to the doctors.

“I had a knot in my stomach when I was going to the hospital but had to keep it together and stay strong for the kids,” the mother recalled.

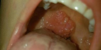
Boy Accidentally Discovers Sisters Cancerous Tumor While Tickling Her

Photo credit: Mercury Press / Mirror UK

This was on June 26.

On July 6, test results came back and confirmed Carly’s fear.

The tumor was malignant, brought on by a condition called Rhabdomyosarcoma, a rare cancer that mostly affects kids.

“My world just fell apart when they told me but Amy has been so strong and whatever she has had to face she has just bounced back,” Carly shared. “Amy’s a really happy-go-lucky confident girl and she gives me the strength to carry on, if I was her then I would be on the floor.”

Photo credit: Mercury Press / Mirror UK

Photo credit: Mercury Press / Mirror UK

Amy is scheduled to undergo nine rounds of chemotherapy to address the cancer before she heads out to the United States for a proton beam therapy.

The family has also set up a fundraising page to help shoulder Amy’s astronomical medical bills.

“I’m absolutely so proud of Aaron,” Carly said. “Because he found it, he thinks that he has done something wrong when in fact he has saved his little sister’s life.

“I really cannot thank him enough for what he has done, I am so proud.”

Find out more about Rhabdomyosarcoma on the next page!

What is Rhabdomyosarcoma?

According to MacMillan.Org, Rhabdomyosarcoma is the most common of the soft tissue sarcomas in children. These tumours develop from muscle or fibrous tissue and can grow in any part of the body.

Most commonly affected areas in the body include head and neck, the bladder, the testes, the womb or the vagina.

“Sometimes tumours are also found in a muscle or a limb, in the chest or in the abdominal wall,” the website said. “If the tumour is in the head or neck area, it can occasionally spread into the brain or the fluid around the spinal cord.”

The most characteristic symptom of this cancer is a lump or swelling. However, other symptoms vary depending on where it is located in the body.

  • A tumour in the head or neck area can sometimes cause a blockage (obstruction) and discharge from the nose or throat. Occasionally, an eye may appear swollen and protruding
  • A tumour in the abdomen (tummy) can cause pain or discomfort in the abdomen and difficulty going to the toilet (constipation)
  • A tumour in the bladder may cause symptoms such as blood in the urine and difficulty passing urine

READ: 15 Cancer signs in children that you might be ignoring

If you have any insights, questions or comments regarding the topic, please share them in our Comment box below or check out theAsianparent Community for more insightful parenting news and tips . Like us on Facebook and follow us on Google+ to stay up-to-date on the latest from theAsianparent.com Philippines!

Partner Stories
What’s your cough treatment for that #PigilHiningaMoment?
What’s your cough treatment for that #PigilHiningaMoment?
Alagang Unilab: Healthier Ph Opens Dialogue on Steam Inhalation as a Health Treatment
Alagang Unilab: Healthier Ph Opens Dialogue on Steam Inhalation as a Health Treatment
Gut Health: How to keep your child’s digestive tract healthy with Erceflora Kiddie
Gut Health: How to keep your child’s digestive tract healthy with Erceflora Kiddie
A mom’s responsibility: Getting vaccinated for her children
A mom’s responsibility: Getting vaccinated for her children

Got a parenting concern? Read articles or ask away and get instant answers on our app. Download theAsianparent Community on iOS or Android now!

img
Written by

James Martinez

Become a Contributor

  • Home
  • /
  • Health
  • /
  • Boy accidentally discovers sister’s cancerous tumor while tickling her
Share:
  • Diabetes is rising fast in the Philippines but these stories spark hope.

    Diabetes is rising fast in the Philippines but these stories spark hope.

  • Vitamin D Deficiency in the Philippines: Urban Children Face Higher Risk, Data Shows

    Vitamin D Deficiency in the Philippines: Urban Children Face Higher Risk, Data Shows

  • Check for signs of risk! Pseudo-autism. Fix it quickly before it becomes a threat to your child's development.

    Check for signs of risk! Pseudo-autism. Fix it quickly before it becomes a threat to your child's development.

  • Diabetes is rising fast in the Philippines but these stories spark hope.

    Diabetes is rising fast in the Philippines but these stories spark hope.

  • Vitamin D Deficiency in the Philippines: Urban Children Face Higher Risk, Data Shows

    Vitamin D Deficiency in the Philippines: Urban Children Face Higher Risk, Data Shows

  • Check for signs of risk! Pseudo-autism. Fix it quickly before it becomes a threat to your child's development.

    Check for signs of risk! Pseudo-autism. Fix it quickly before it becomes a threat to your child's development.

Feed

Feed

Get tailored articles about parenting, lifestyle, expert opinions right at your fingertips

Poll

Poll

Participate in interesting polls and see what other parents think!

Photos

Photos

Share the photos of loved ones in a safe, secure manner.

Topics

Topics

Join communities to bond with fellow mums and dads.

Tracker

Tracker

Track your pregnancy as well as baby’s development day-by-day!

theAsianparent

Download our free app

Google PlayApp Store

Mums around the world

Singapore flag
Singapore
Thailand flag
Thailand
Indonesia flag
Indonesia
Philippines flag
Philippines
Malaysia flag
Malaysia
Vietnam flag
Vietnam

Partner Brands

Rumah123VIP ParentsMama's ChoiceTAP Awards

© Copyright theAsianparent 2026 . All rights reserved

  • About Us
  • Privacy Policy
  • Terms of Use
  • Sitemap HTML
  • Tools
  • Articles
  • Feed
  • Poll

We use cookies to ensure you get the best experience. Learn MoreOk, Got it

We use cookies to ensure you get the best experience. Learn MoreOk, Got it