TAP top app download banner
theAsianparent
theAsianparent
EnglishFilipino
Product Guide
  • Money Tips
  • Building a BakuNation
  • Becoming a Parent
  • Ages & Stages
  • Parenting
  • Health & Wellness
  • Education
  • Lifestyle Section
  • Become a VIP
  • Press Room
  • TAP Recommends
  • Shopping
  • Community
Login
  • EnglishFilipino
    • Articles
  • Money TipsMoney Tips
  • Building a BakuNationBuilding a BakuNation
  • Becoming a ParentBecoming a Parent
  • Ages & StagesAges & Stages
  • ParentingParenting
  • Health & WellnessHealth & Wellness
  • EducationEducation
  • Lifestyle SectionLifestyle Section
  • Become a VIPBecome a VIP
  • Press RoomPress Room
  • TAP RecommendsTAP Recommends
  • ShoppingShopping
  • CommunityCommunity
    • Community
  • Poll
  • Photos
  • Food
  • Recipes
  • Topics
  • Read Articles
    • Tracker
  • Pregnancy Tracker
  • Baby Tracker
    • Rewards
  • RewardsRewards
  • Contests
  • VIP ParentsVIP Parents
    • More
  • Feedback

Privacy PolicyCommunity GuidelinesSitemap HTML

Download our free app

google play store
app store

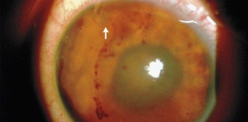
Parasitic worms found in teenager's eye, damaging his eyesight

29 Sep, 2017
Parasitic worms found in teenager's eye, damaging his eyesight

When doctors inspected the teenager's eye, they were surprised to discover a flatworm moving around the teen's eyeball.

Doctors from Mexico were surprised to discover a flatworm moving around a teenager’s eyeball after the teen went to the doctor after three weeks of pain and decreasing vision in his eye.

“He could not even see our fingers”

A report regarding the case was published in the New England Journal of Medicine. According to the authors, “He could not even see our fingers” when they were held about a foot away from the teenager’s face. Apparently, he could only hand motions with his right eye. His left eye wasn’t affected.

During the eye exam, discovered that the cause of the teenager’s pain and loss of sight was a flatworm moving around the eyeball. The extent of the damage was so severe that the cornea was swollen and speckled with blood, and there were multiple holes in the iris, which was caused by the worm moving around the eye.

In order to remove the worm, doctors had to remove his lens, as well as the liquid that fills the eyeball. They also discovered that the worm caused damage to the retina, which is located at the back of the eye.

His vision hasn’t recovered

According to Dr. Pablo Guzman-Salas, one of the doctors who treated the patient, this was the “first and only” time that he’d seen a case like this. He shares, “It is not common for trematodes to infect eyes; it is not common for any kind of worm to infect eyes.”

He adds that the type of worm discovered was a trematode, and it commonly comes into contact with humans through tainted food or water that has the worm or its eggs, as well as “really, really bad luck.”

Usually, these trematodes infect a person’s digestive tract, but in the teenager’s case, it only infected his eye. Tests conducted on the teenager show that there were no signs of any worms in his digestive system.

The teenager was also given anti-parasitic medicine after the surgery, but sadly the vision in his right eye hasn’t recovered even at 6 months after the treatment.

Source: foxnews.com

READ: Super Malaria: What parents need to know about this global threat

Partner Stories
The Effect of Pure Vitamin E on One’s Beauty and Immunity
The Effect of Pure Vitamin E on One’s Beauty and Immunity
Wish You Were Here: Family-friendly Outdoor Activities To Do In Hong Kong
Wish You Were Here: Family-friendly Outdoor Activities To Do In Hong Kong
Globe FamSURF199: Fast, affordable, and family-friendly internet connection
Globe FamSURF199: Fast, affordable, and family-friendly internet connection
IKEA celebrates the joys of motherhood
IKEA celebrates the joys of motherhood

Got a parenting concern? Read articles or ask away and get instant answers on our app. Download theAsianparent Community on iOS or Android now!

img
Written by

Jan Alwyn Batara

Become a Contributor

  • Home
  • /
  • Lifestyle Section
  • /
  • Parasitic worms found in teenager's eye, damaging his eyesight
Share:
  • A Good Mother Is a Happy Mother: Not Perfect, But Raising with a Flexible Heart

    A Good Mother Is a Happy Mother: Not Perfect, But Raising with a Flexible Heart

  • Stay-at-Home Moms, This Proposed Bill Wants to Give You ₱1,500 a Month

    Stay-at-Home Moms, This Proposed Bill Wants to Give You ₱1,500 a Month

  • How to Raise Children in a Small House: Creating Play Space and Supporting Development

    How to Raise Children in a Small House: Creating Play Space and Supporting Development

  • A Good Mother Is a Happy Mother: Not Perfect, But Raising with a Flexible Heart

    A Good Mother Is a Happy Mother: Not Perfect, But Raising with a Flexible Heart

  • Stay-at-Home Moms, This Proposed Bill Wants to Give You ₱1,500 a Month

    Stay-at-Home Moms, This Proposed Bill Wants to Give You ₱1,500 a Month

  • How to Raise Children in a Small House: Creating Play Space and Supporting Development

    How to Raise Children in a Small House: Creating Play Space and Supporting Development

Feed

Feed

Get tailored articles about parenting, lifestyle, expert opinions right at your fingertips

Poll

Poll

Participate in interesting polls and see what other parents think!

Photos

Photos

Share the photos of loved ones in a safe, secure manner.

Topics

Topics

Join communities to bond with fellow mums and dads.

Tracker

Tracker

Track your pregnancy as well as baby’s development day-by-day!

theAsianparent

Download our free app

Google PlayApp Store

Mums around the world

Singapore flag
Singapore
Thailand flag
Thailand
Indonesia flag
Indonesia
Philippines flag
Philippines
Malaysia flag
Malaysia
Vietnam flag
Vietnam

Partner Brands

Rumah123VIP ParentsMama's ChoiceTAP Awards

© Copyright theAsianparent 2026 . All rights reserved

  • About Us
  • Privacy Policy
  • Terms of Use
  • Sitemap HTML
  • Tools
  • Articles
  • Feed
  • Poll

We use cookies to ensure you get the best experience. Learn MoreOk, Got it

We use cookies to ensure you get the best experience. Learn MoreOk, Got it