TAP top app download banner
theAsianparent
theAsianparent
EnglishFilipino
Product Guide
  • Money Tips
  • Building a BakuNation
  • Becoming a Parent
  • Ages & Stages
  • Parenting
  • Health & Wellness
  • Education
  • Lifestyle Section
  • Become a VIP
  • Press Room
  • TAP Recommends
  • Shopping
  • Community
Login
  • EnglishFilipino
    • Articles
  • Money TipsMoney Tips
  • Building a BakuNationBuilding a BakuNation
  • Becoming a ParentBecoming a Parent
  • Ages & StagesAges & Stages
  • ParentingParenting
  • Health & WellnessHealth & Wellness
  • EducationEducation
  • Lifestyle SectionLifestyle Section
  • Become a VIPBecome a VIP
  • Press RoomPress Room
  • TAP RecommendsTAP Recommends
  • ShoppingShopping
  • CommunityCommunity
    • Community
  • Poll
  • Photos
  • Food
  • Recipes
  • Topics
  • Read Articles
    • Tracker
  • Pregnancy Tracker
  • Baby Tracker
    • Rewards
  • RewardsRewards
  • Contests
  • VIP ParentsVIP Parents
    • More
  • Feedback

Privacy PolicyCommunity GuidelinesSitemap HTML

Download our free app

google play store
app store

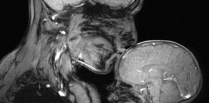
Look: A mother’s love for her child, caught in an MRI scan

17 May, 2017
Look: A mother’s love for her child, caught in an MRI scan

Read on to find out the touching story behind this amazing photo!

MRI scans are usually used to capture images of the human body that helps diagnose and treat a person’s illness. But in this case, a mother’s love for her child was capture by an MRI scan.

She loved watching her son’s development

After Neuroscientist Rebecca Sax gave birth to her first child, she fell in love with the idea of watching her child’s brain develop. She spent countless hours in an MRI scanner with her son, observing how his brain was growing along with his body. (Note: MRI scanners don’t produce any radiation, and they are perfectly safe for children)

Eventually, her fascination with seeing her child’s growth and development led into the idea of taking an MRI scan of her and her baby together.

It wasn’t easy taking the image

According to Rebecca, taking the image was difficult, since the scanner she used was made for taking MRI scans of a single person. It took numerous modifications as well as months of working with medical technicians before the scanner was modified to take a scan of her and her baby.

And on April 2015, after giving birth to her 2nd baby, she was finally able to take the amazing image.

She shares, “It’s very, very hard to make. You have to hold still for a few minutes to get the picture. Try to convince a little baby to lie [still].”

MRI machines are also noisy, so to help keep her child from moving around too much or being scared of the noise, her baby had to wear pads over his ears. She in turn had to wear earplugs herself.

After a couple of hours and 25 attempts, they finally got the scan that the wanted.

“I thought they were beautiful. I couldn’t take my eyes off them,” Rebecca shares.

Source: today.com

READ: Watch this deaf grandmother teach her granddaughter how to do sign language

Be sure to check out theAsianparent Community for more insightful stories, questions, and answers from parents and experts alike. If you have any insights, questions or comments regarding the topic, please share them in our Comment box below. Like us on Facebook and follow us on Google+ to stay up-to-date on the latest from theAsianparent.com Philippines!

Partner Stories
The Effect of Pure Vitamin E on One’s Beauty and Immunity
The Effect of Pure Vitamin E on One’s Beauty and Immunity
Wish You Were Here: Family-friendly Outdoor Activities To Do In Hong Kong
Wish You Were Here: Family-friendly Outdoor Activities To Do In Hong Kong
Globe FamSURF199: Fast, affordable, and family-friendly internet connection
Globe FamSURF199: Fast, affordable, and family-friendly internet connection
IKEA celebrates the joys of motherhood
IKEA celebrates the joys of motherhood

Got a parenting concern? Read articles or ask away and get instant answers on our app. Download theAsianparent Community on iOS or Android now!

img
Written by

Jan Alwyn Batara

Become a Contributor

  • Home
  • /
  • Lifestyle Section
  • /
  • Look: A mother’s love for her child, caught in an MRI scan
Share:
  • A Good Mother Is a Happy Mother: Not Perfect, But Raising with a Flexible Heart

    A Good Mother Is a Happy Mother: Not Perfect, But Raising with a Flexible Heart

  • Stay-at-Home Moms, This Proposed Bill Wants to Give You ₱1,500 a Month

    Stay-at-Home Moms, This Proposed Bill Wants to Give You ₱1,500 a Month

  • How to Raise Children in a Small House: Creating Play Space and Supporting Development

    How to Raise Children in a Small House: Creating Play Space and Supporting Development

  • A Good Mother Is a Happy Mother: Not Perfect, But Raising with a Flexible Heart

    A Good Mother Is a Happy Mother: Not Perfect, But Raising with a Flexible Heart

  • Stay-at-Home Moms, This Proposed Bill Wants to Give You ₱1,500 a Month

    Stay-at-Home Moms, This Proposed Bill Wants to Give You ₱1,500 a Month

  • How to Raise Children in a Small House: Creating Play Space and Supporting Development

    How to Raise Children in a Small House: Creating Play Space and Supporting Development

Feed

Feed

Get tailored articles about parenting, lifestyle, expert opinions right at your fingertips

Poll

Poll

Participate in interesting polls and see what other parents think!

Photos

Photos

Share the photos of loved ones in a safe, secure manner.

Topics

Topics

Join communities to bond with fellow mums and dads.

Tracker

Tracker

Track your pregnancy as well as baby’s development day-by-day!

theAsianparent

Download our free app

Google PlayApp Store

Mums around the world

Singapore flag
Singapore
Thailand flag
Thailand
Indonesia flag
Indonesia
Philippines flag
Philippines
Malaysia flag
Malaysia
Vietnam flag
Vietnam

Partner Brands

Rumah123VIP ParentsMama's ChoiceTAP Awards

© Copyright theAsianparent 2026 . All rights reserved

  • About Us
  • Privacy Policy
  • Terms of Use
  • Sitemap HTML
  • Tools
  • Articles
  • Feed
  • Poll

We use cookies to ensure you get the best experience. Learn MoreOk, Got it

We use cookies to ensure you get the best experience. Learn MoreOk, Got it